- 무삭제 라미네이트
-
서울세온치과에서는
치아를 삭제하지 않는
완전 무삭제 라미네이트 시술을 진행합니다. 치아의 기능을 고려하지 않은 무분별한 치아삭제는 개인의 따라 시림증상이나 심한 경우 통증을 일으킬 수 있습니다. 때문에 시술 경험이 다양한 의료진에게 받는 것이 중요합니다.
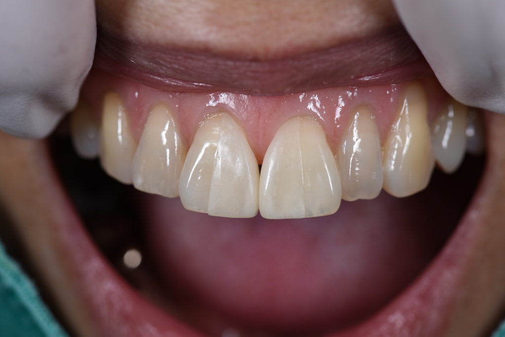
- 무삭제 라미네이트(Implant)는?
-
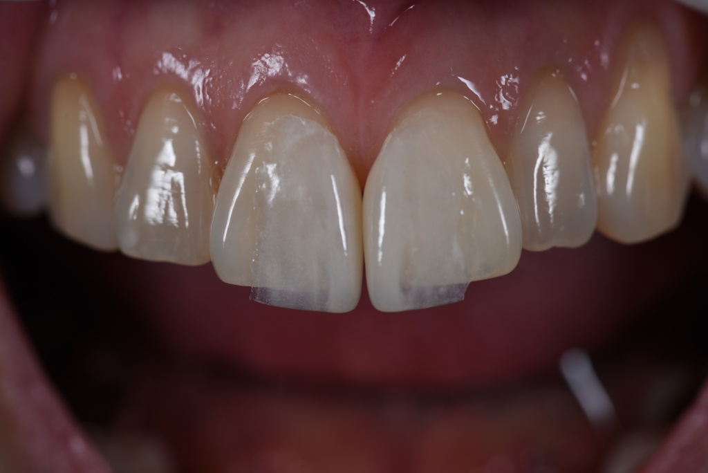
심한변색, 왜소치 등에 효과적 치아를 삭제하지 않고 깨끗하게 한 후, 매우 얇은 강화세라믹 라미네이트를 직접 수제작하여 치아의 겉면에 접착하는 시술입니다. 치아의 건강을 지키면서도 예쁘고 가지런한 치열을 만들 수 있습니다.
- 무삭제 라미네이트가 필요한 경우
-
- 앞니가 깨지거나 이전 치료가 심미적인 문제가 있는경우
- 앞니가 겹치거나 공간이 비는등 배열이 안좋은 경우
- 치아 크기가 일정하지 않은 경우
- 치아 변색이 심해 영구적인 미백을 원할 경우
- 장점
-
- 무삭제 자연치아 보전
- 통증없이 치료가능
- 2회내원 10일 완성
- 자연 치아 투명도 색상재현
- 자연스런 잇몸라인 형성
- 영구미백효과
- 주의사항
-
- 치아와 마찬가지로 깨질 위험이 있습니다
- 라미네이트 교체시 치아와 구분이 가지않아 제거에 어려움이 있습니다
- 부정교합일때는 라미네이트 시술이 제한될 수 있습니다
- 치료과정
-
-
치아상태 분석
3D카메라로 치아의 상태를 분석합니다.
-
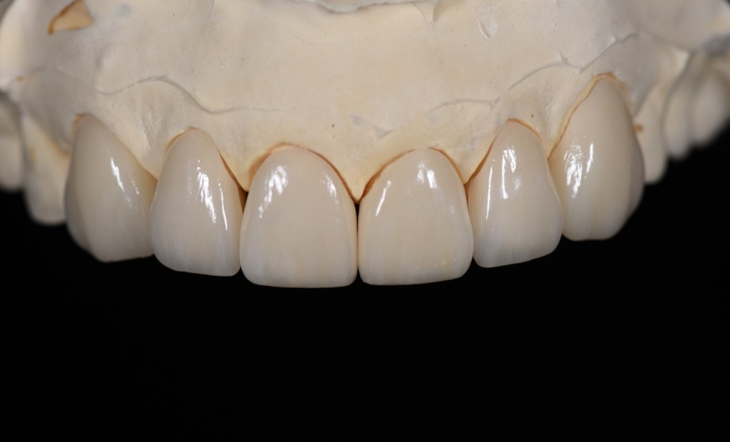
정교한 라미네이트 제작
분석된 치아를 근간으로 라미네이트를 제작한다.
-
라미네이트 부착
제작한 라미네이트를 치아의 겉면에 부착합니다.
-
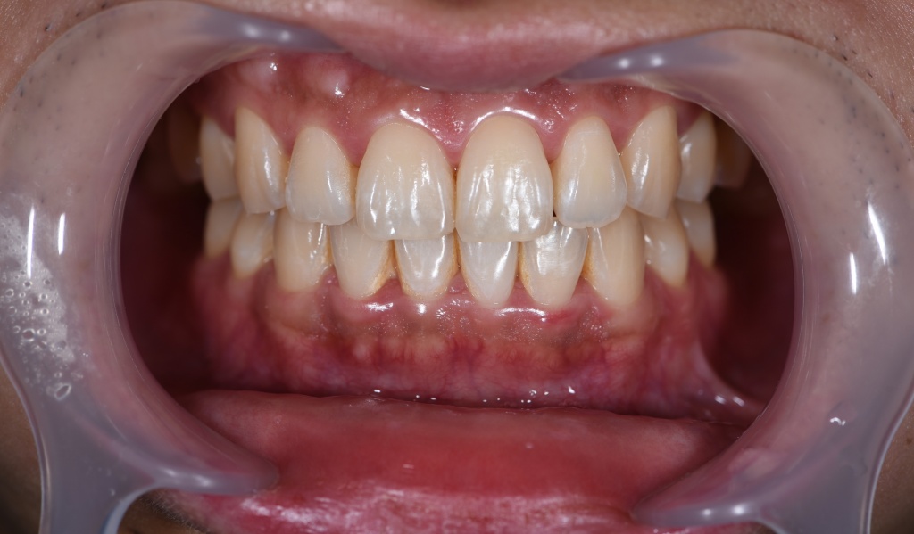
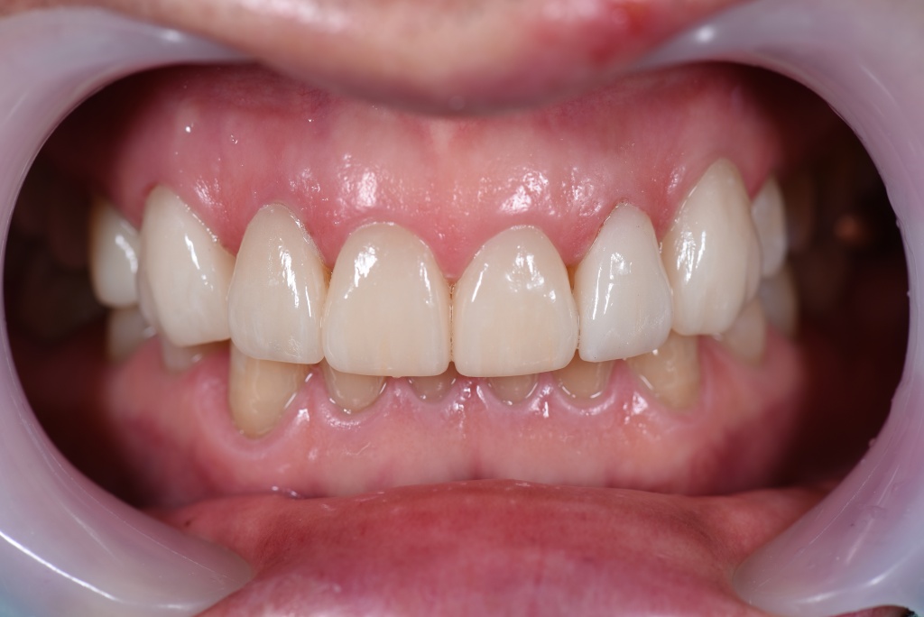
- 진료케이스




